〒812-0011 福岡市博多区博多駅前3-26-29 九勧博多ビル1F

電話での問合せ・無料相談予約

0120-428-051
診療時間
月曜~土曜 9:00~18:00
休診日
日曜・祝日・木曜(不定期)
博多駅より徒歩 4分
土曜日18時まで診療
通院は36ヶ月に1回。
無理なく通える
診療時間
9:00~18:00

休診日:日曜・祝日・木曜(不定期)

 

福岡市営地下鉄「博多駅」下車、博多口博多駅前通りを西に約300m(徒歩4分)

アクセス
〒812-0011
福岡市博多区博多駅前3-26-29 九勧博多ビル1F

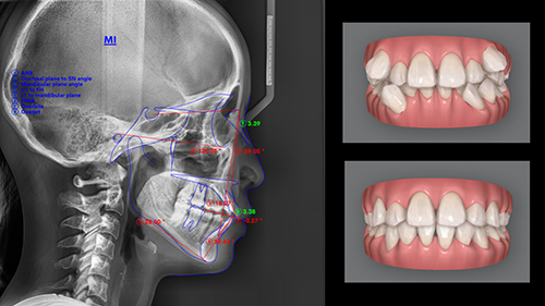
歯並びの無料相談にお越しいただいた方に、治療後の歯並びをシミュレーション動画でお見せしています。

ふいに撮られた写真に落ち込む日々。
笑顔がぎこちない、横顔が気になる…

そんな方こそ、無料相談にお越しください。

  • 私の歯並びでも、本当に変われる
  • 横顔顔立ちも変わるの?
  • 治療費や治療期間は?
  • 通院は36ヶ月に1回って本当?

未来の歯並びシミュレーション
動画でお見せします

あなたに合った矯正方法をインビザライン・ダイヤモンド認定医で、1,600症例の実績を持つDr.三嶋が丁寧に提案します。

変われるかどうかを悩む前に、「どう変わるのか」を見てみませんか。  

まずは無料相談で、未来を一緒にシミュレーションしてみましょう。

「本当に信頼できる人に診てほしい」
そう思っているあなたへ

矯正のことを調べれば調べるほど、どう選べばいいかわからなくなる。そんな気持ちを抱えていませんか?

 
  • 安い矯正は魅力的だけど、失敗が怖い
  • 私の歯並びでもマウスピース矯正できる?
  • ブリッジ差し歯があるから、そもそも無理?
  • 年齢的に、遅すぎる…?
  • ちゃんと話を聞いてくれる先生に出会える?
でも、写真を撮られるのが毎回、憂うつ。
こんな状況、そろそろ限界かも——

そのお悩み
当院のマウスピース矯正で
解決できます。

透明なマウスピースを使った矯正治療は、いまでは多くの歯科医院で提供されています。  

でも、“装置が同じ”だからといって、“結果も同じ”とは限りません

当院ではすべての患者さんを、7年連続プラチナランク・2024年にはダイヤモンドランクに昇格認定され、1,600症例以上の実績を持つDr.三嶋が担当します。  

中度・重度の症例でも、ブリッジや差し歯がある口元でも、あきらめずに取り組んできたからこそ、語れることがあります。

“誰がどう使うか”で、同じマウスピースでもまったく違う未来が生まれます。

「ワイヤーじゃないと無理」と言われた方も、
「今さら矯正なんて」と思っていた方も。  

その“無理かもしれない”をくつがえす矯正が、ここにあります。

マウスピース矯正
(インビザライン)

当院のマウスピース矯正は、実績が豊富で患者さまの様々な症状に対応可能なことと、奥歯を動かせるため治療上のメリットが多いことにより、インビザラインで治療を行っています。

忙しい方も通いやすい

スピード矯正と
36ヶ月に1回の通院頻度

光加速装置

一般的に矯正治療は、2〜3年の治療期間と毎月の通院が必要です。

その点当院のマウスピース矯正「インビザライン」なら、光加速装置の利用で2年の治療期間を1年半短縮できるスピード矯正が可能。

さらに、スマホアプリを使ったモニタリングシステムの導入で、通院を3〜6ヶ月間隔にすることを実現しました。

土曜日も18時まで診療していますので、負担感なく治療を続けられることと思います。

当院のマウスピース矯正
インビザラインなら

当院は奥歯も矯正するので、Eラインが整い横顔が美しくなります。

また奥歯の噛み合わせを矯正するとフェイスラインがすっきりします。

さらに奥歯の噛み合わせを矯正すると、たるみやしわも改善します。

※これらの効果には個人差があります

マウスピース矯正は透明なマウスピース型の矯正装置を使って治療します。

この写真のように金属を使うワイヤー矯正に比べると、マウスピース矯正は目立たないので、他人の目が気になりません。

マウスピースは表面がツルツルですし、歯の移動距離も少ないため、ワイヤー矯正に比べるとほとんど痛みを感じません。

結婚式や大切な面接といった「ここぞ」という場合は、自分で簡単に装置を外すことができます。
 

当院が選ばれる
理由

当院ではすべての矯正患者さまの治療を「インビザライン・ダイヤモンド・プロバイダー」の Dr.三嶋が担当します。

矯正治療の実績1,600症例、「インビザライン・ダイヤモンド・プロバイダー」の経験にもとづき、中度・重度の治療に当たらせていただきます。

「もう年齢的に遅いのでは」「ブリッジインプラントがあるから無理かも」──40代・50代の方からよくいただく不安です。

実際、この年代の矯正治療は難度が上がるため、他院で断られるケースも少なくありません。

その点当院では、インビザライン・ダイヤモンドプロバイダーで、1,600症例以上の治療実績を持つ院長が、数多くの40代・50代の矯正治療を成功に導いてきました。

矯正治療に「遅い」はありません。まずは、無料相談にお越しいただければと思います。

当院なら光加速装置(矯正加速装置)を利用頂くことで、歯が動くスピードを速くし、通常2年かかる治療期間を1年半くらいに短縮できます。

通院は36ヶ月に1回だけ

スマホアプリを使ったモニタリングシステムを導入し、患者さまのお口の状況を遠隔で確認できる体制を敷きました。

治療中の異変にもすぐに対応できるため、通院を3〜6ヶ月間隔にすることが可能です。学校やお仕事で忙しい方も無理なく通えます。

矯正後の歯並びはどうなるんだろう…。本当に理想の口元が手に入るの?そんな不安を抱える方もいらっしゃるかと思います。

当院では、最新の口腔内スキャナーをを使用した歯並びのシミュレーションを無料でご提供しています。

これにより治療中の歯の動きや、矯正後の歯並びをイメージすることが可能です。

他院で断られた中度重度もお任せください

格安アライナーをはじめとした格安矯正の場合、動かせる範囲が前歯に限定されるため、軽度のケースにしか対応できません。

一方、当院では奥歯まで動かせるインビザラインを採用しています。

豊富な経験を持つDr.三嶋中度重度の症状にもしっかり対応しますので、他院で「治療できない」と断られた患者さまもお気軽にご相談ください。

 

プライバシーが守られた半個室の診療台

当院ではプライバシーに配慮した半個室の診療台をご用意。

隣の患者さまを気にすることなく、治療を受けていただけます。

私たちの役割は、患者さまの歯並びを整え、患者さまに笑顔を取り戻していただくこと。

そのために最も大切なのが、患者さまのお話をしっかりと伺うことなのです。

無料の矯正相談や治療時に、どんな些細な事でも構いません。お悩みやご希望、ご質問、等、色々とお話しください。

お話しを伺うことを楽しみにしております。

こうしたご要望にも
対応可能です

ブリッジ・インプラント

差し歯やブリッジ、インプラントがあると、矯正治療が難しくなります。

当院ではお口の状態に合わせて最適な矯正治療を提供いたします。

歯を抜きたくない

ご希望の患者さまには、非抜歯でも美しい歯並びを追求した矯正治療をご提案いたします。

難症例を矯正したい

通常、ワイヤー矯正でなければ治療できない難症例でも、当院のDr.三嶋ならマウスピース矯正で治療可能。

難症例でお悩みの方は、ぜひお気軽にご相談ください。

あなたの未来の歯並びがわかる
  • 私の歯並びでも、本当に変われる
  • 横顔顔立ちも変わるの?
  • 治療費や治療期間は?
  • 通院は36ヶ月に1回って本当?

インビザライン・ダイヤモンド・プロバイダー・1,600症例のDr.三嶋が歯並びの無料相談を実施中。

治療後の歯並びをシミュレーション動画でお見せします。

マウスピース矯正の
費用

当院では一人でも多くの方に矯正治療を受けて頂きたいと考え、奥歯を動かす矯正治療を55万円〜のお安い費用でご提供。

さらに156回の分割払い(デンタルローン)を利用すると、治療前に多額の費用を用意することなく、月々4,393円〜のお安い費用ですぐに治療を開始できます。

軽度 : インビザライン・ライト
治療費 55万円(上下) 月々4,393
重度 : インビザライン・フル
 (インビザライン・コンプリヘンシブ)
治療費 105万6千円(上下) 月々8,435

矯正の治療期間を短縮し、スピーディな矯正を実現する「矯正加速装置」を無料でおつけします。

他院では10〜20万円のオプションであることが多いのですが、当院では治療費に含めています。

年収360万円の方が、55万円のインビザライン矯正を受けた場合、13万5千円が還付され、実質41万5千円の治療費で済みます(概算)。

無料相談
カウンセリング

精密検査
(パノラマ・セファロ)

精密検査
(CT)

治療計画
(クリンチェック)

ご契約

治療開始

治療の経過観察

治療終了

保定期間に移行

矯正担当医からのあいさつ

矯正担当医 三嶋 一平

  

「その悩み、ずっと一人で抱えていませんか?」

はじめまして。

 むらつ歯科クリニック矯正担当医の三嶋です。

 「ブリッジがあるから無理かも」「もう歳だし、今さら…」

そんなふうにあきらめてしまう前に、どうか一度だけでもお話をお聞かせいただけないでしょうか。

矯正治療には、あなたのご希望を叶え笑顔にする力があると私は信じています。
 

きっかけは、心からの笑顔でした

正直に言うと私は学生時代、むし歯や入れ歯の治療にあまり興味が持てませんでした。

歩むべき道を間違えたかもしれない。そう思っていた頃に出会った、とある場面が私を変えたのです。

それは矯正治療の実習の日。治療を終えた患者さんと先生が、まるで長年の友人のように心から笑い合っていたことです。

歯科医師が人をこんなにも笑顔にできるなんて。

そう衝撃を受けたことを私は今でもハッキリ覚えています。

むし歯や入れ歯の治療が悪いという話ではありません。

私がずっと求めていた「人の笑顔を輝かせられる仕事」が、矯正治療にあったのです。
 

知識・技術をベースにした「寄り添う矯正治療」

知識と技術が、良い治療を行うために必要なのは言うまでもありません。

私が思う最も大切なこととは、「この先生になら任せたい」と思ってもらえる信頼です。

そのような関係を築けるよう、あなたの気持ちに寄り添うことを何より大切にしています。

私の歯並びでも、大丈夫ですか?

この歳からでも歯は動きますか?

ご不安をどうぞ遠慮なくお聞かせください。

最初から「無理です」と否定することはありません。最善の解決策を一緒に見つけましょう。
 

資格・経歴
  • ダイヤモンド・プロバイダー(2024)
  • プラチナエリート・プロバイダー(2021~2023)
  • プラチナ・プロバイダー(2017~2020)
  • 福岡歯科大学 卒業
  • 福岡歯科大学矯正歯科 入局
  • 2011年 日本矯正歯科学会「矯正認定医 」取得
  • 医)むらつ歯科クリニック 矯正担当医として勤務
  • 矯正歯科医師むけ勉強会「FOC」主宰

よくあるご質問

ブリッジや差し歯があっても矯正できますか?  


はい、可能です。  

ブリッジや差し歯、インプラントなどがある場合でも、豊富な治療経験と1,600症例以上の実績をもとに、個別に診断して治療プランを立てています。  
必要に応じて、ワイヤーとの併用も視野に入れた柔軟な対応が可能です。

横顔やフェイスラインも変わるって本当ですか?  


はい、実感される方が多くいらっしゃいます。  

前歯だけでなく、奥歯まで動かす全体矯正によって、口元の突出感がやわらぎ、Eラインが整うケースもあります。  
見た目の変化だけでなく、噛み合わせや筋肉のバランスまで改善されることで、「雰囲気が変わった」と言われる方も多いです。

矯正って高いイメージがあるのですが、大丈夫でしょうか?  


分割払いも可能なので、無理なく続けられます。  

他院では別料金なことが多い、相談料、診断料(治療計画)、光加速装置、リテーナーは治療費に含まれていますので無料です。
月々4,393円から分割払いにも対応していますので、費用面が不安な方でも安心してご相談いただけます。

痛みや日常生活への影響はありますか?  


初期に違和感を覚える方はいますが、多くは数日で慣れます。  

インビザラインは0.25mm単位で少しずつ歯を動かしていくため、痛みは比較的少ないとされています。  
また、取り外しも可能なため、食事や会話、接客の仕事にもほとんど支障はありません。

無料相談だけでもいいのでしょうか?  


はい、もちろんです。  

「まずは話を聞いてみたい」「自分の症例でもできるか知りたい」という方にこそ、無料相談での3Dシミュレーションをおすすめしています。  
無理に治療を勧めることはありませんので、安心してご予約ください。

あなたの未来の歯並びがわかる
  • 私の歯並びでも、本当に変われる
  • 横顔顔立ちも変わるの?
  • 治療費や治療期間は?
  • 通院は36ヶ月に1回って本当?

インビザライン・ダイヤモンド・プロバイダー・1,600症例のDr.三嶋が歯並びの無料相談を実施中。

治療後の歯並びをシミュレーション動画でお見せします。

当院の
矯正治療

マウスピース矯正「インビザライン」は、透明なマウスピース型の矯正装置を使って歯並びをキレイにする歯列矯正。

患者さま一人ひとりの歯並びにあわせた取り外しできるマウスピースを設計・作製し、それを治療の段階に応じてつけ替えることで、歯並びを改善します。

マウスピースが透明で目立たないこと、一度に移動させる歯の距離が短いため矯正中の痛みが少ない点がメリットです。

歯にブラケットと呼ばれる装置とワイヤーをつけて、歯やあごの骨に力をかけながら歯を動かし、歯並びを整えていく歯列矯正です。

難症例の歯並びでマウスピース矯正だけでは治療できない場合や、お口の中に差し歯ブリッジインプラントがある場合に、このワイヤー矯正を組み合わせて治療する場合があります。

当院では、矯正装置が少しでも目立たないように、すべての症例でクリアブラケットを採用しています。

マウスピース矯正やワイヤー矯正と組み合わせることが前提の治療法。

ごく小さな矯正用のインプラント(ネジ)をあごの骨に埋め込み、動きづらい歯を動かします。

インプラントといっても通常イメージされる人工歯根のインプラントとは違い、大掛かりな手術は必要ありません。

「歯並びを治したいけれど、健康な歯を抜くのは抵抗がある...」そんな方におすすめなのが、非抜歯矯正です。

歯を抜かずに歯並びを整えられるため、健康な歯を守りつつ理想的な口元を目指せます。

※お口の状態によっては非抜歯矯正に対応できないケースもありますので、ご了承ください。当院では、治療法のメリット・デメリットをしっかりとお伝えし、患者さまのご希望に適した治療プランをご提案いたします。

あなたの未来の歯並びがわかる
  • 私の歯並びでも、本当に変われる
  • 横顔顔立ちも変わるの?
  • 治療費や治療期間は?
  • 通院は36ヶ月に1回って本当?

インビザライン・ダイヤモンド・プロバイダー・1,600症例のDr.三嶋が歯並びの無料相談を実施中。

治療後の歯並びをシミュレーション動画でお見せします。

中度・重度専門の
マウスピース矯正

Oh my teeth、格安アライナー等、前歯しか動かせない格安矯正は、軽度が専門の治療法。

そのため格安矯正で中度や重度を無理矢理に治療すると、治療に失敗して歯並びが口ゴボ状態になってしまうことも・・。

その点、前歯だけでなく奥歯も動かせる当院のマウスピース矯正インビザラインなら、中度や重度でも、きれい矯正することが可能です。

経験不足の歯科医師の場合、中度重度に必要な細かい調整を行えず、メーカーのAIシステムに治療計画を丸投げしがち。

そのためAIシステムが間違った場合、それを正すことができず、矯正治療に失敗して口ゴボになってしまった、という話をよく耳にします。

でも当院は経験豊富なDr.三嶋が、AI任せにすることなく対応を行いますから、矯正治療に失敗して患者さまが後悔するというようなことはありません。

どうぞご安心ください。

当院の矯正治療

あなたの未来の歯並びがわかる
  • 私の歯並びでも、本当に変われる
  • 横顔顔立ちも変わるの?
  • 治療費や治療期間は?
  • 通院は36ヶ月に1回って本当?

インビザライン・ダイヤモンド・プロバイダー・1,600症例のDr.三嶋が歯並びの無料相談を実施中。

治療後の歯並びをシミュレーション動画でお見せします。

診療時間
9:00~18:00

休診日:日曜・祝日・木曜(不定期)

福岡市営地下鉄「博多駅」下車 博多口博多駅前通りを西に約300m(徒歩4分)▶アクセスマップへ

診療時間

 
午前
午後

診療時間:9:00~18:00
休診日:日曜・祝日・木曜(不定期)

アクセス

〒812-0011
福岡市博多区博多駅前3-26-29 九勧博多ビル1F